Paradentóza je chronické zápalové ochorenie, ktoré postihuje tkanivá okolo zubov, vrátane ďasien, väzov a kosti, ktoré zuby držia na mieste. Ak sa nelieči, môže viesť k postupnému uvoľňovaniu a vypadávaniu zubov. Ide o jedno z najčastejších ochorení ústnej dutiny dospelých, ktoré má často tichý a pomaly sa rozvíjajúci priebeh.
V tejto téme sa pozrieme na hlavné príčiny, ktoré paradentózu vyvolávajú, typické príznaky, podľa ktorých ju možno rozoznať, a dostupné možnosti liečby, ktoré pomáhajú zabrániť jej postupovaniu a udržať zdravie ústnej dutiny.

Čo je paradentóza a čo ju spôsobuje?
Paradentóza, odborným názvom parodontitída, je chronické zápalové ochorenie, ktoré postihuje tkanivá okolo zubov – teda ďasná, väzivá a kosť, ktorá zuby drží na svojom mieste. Ide o pokročilú fázu ochorenia ďasien, ktorá vzniká najmä v dôsledku neliečenej gingivitídy, teda zápalu samotných ďasien. Paradentóza vedie k postupnému poškodeniu podpory zubov, čo môže mať za následok ich uvoľňovanie a nakoniec aj vypadávanie.
Hlavnou príčinou paradentózy je dlhodobé hromadenie zubného povlaku – lepkavej vrstvy, ktorá obsahuje množstvo baktérií. Tento povlak sa usádza na povrchu zubov a v priestore medzi zubami a ďasnami. Ak sa povlak pravidelne neodstraňuje dôkladnou ústnou hygienou, baktérie v ňom obsiahnuté začnú vyvolávať zápalové procesy. Tie poškodzujú nielen povrch ďasien, ale postupne aj hlbšie vrstvy tkanív, ktoré zabezpečujú stabilitu zubu. Zápal vedie k rozkladu väzivových vlákien a úbytku kostnej hmoty okolo zubu, čím sa zub stáva postupne uvoľneným. Okrem zubného povlaku môžu na rozvoj paradentózy vplývať aj ďalšie faktory.
Fajčenie je jedným z najvýznamnejších rizikových prvkov, pretože znižuje schopnosť imunitného systému bojovať proti zápalu a spomaľuje hojenie poškodených tkanív. Rovnako genetická predispozícia zohráva svoju rolu – niektorí ľudia sú k tomuto ochoreniu náchylnejší bez ohľadu na starostlivosť o ústnu hygienu.
Stres a oslabený imunitný systém môžu tiež prispieť k zhoršeniu stavu ďasien, pretože znižujú obranyschopnosť organizmu voči infekciám. Hormonálne zmeny v organizme, napríklad počas tehotenstva alebo menopauzy, môžu zmeniť reakciu ďasien na baktérie a zvyšovať riziko vzniku zápalu. Rovnako niektoré systémové ochorenia, ako napríklad cukrovka, môžu zhoršiť priebeh paradentózy, pretože ovplyvňujú schopnosť tela bojovať proti infekciám a hojiť tkanivá.
Okrem toho môžu k paradentóze prispieť aj mechanické faktory, ako sú nesprávne zhotovené zubné náhrady alebo výplne, ktoré môžu vytvárať priestory pre usadzovanie plaku a baktérií.
Paradentóza nie je len problémom ústnej dutiny, ale má vplyv aj na celkové zdravie človeka. Neliečená môže viesť k chronickému zápalu, ktorý môže zvyšovať riziko ďalších ochorení, napríklad srdcovo-cievnych problémov. Preto je dôležité včas rozpoznať príznaky a venovať pozornosť správnej starostlivosti o ústnu hygienu a pravidelným preventívnym prehliadkam u zubného lekára.

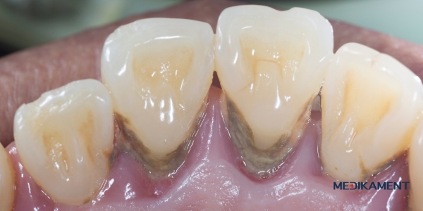
Ako vyzerá paradentóza?
Paradentóza má charakteristický vzhľad a prejavy, ktoré sú často zreteľné najmä v ústnej dutine. Na prvý pohľad môže byť viditeľné začervenanie a opuch ďasien, ktoré sú pri tomto ochorení typicky citlivé a môžu krvácať, najmä pri čistení zubov alebo zjedení tvrdšej potravy. Povrch ďasien môže pôsobiť lesklým alebo napnutým dojmom, čo je spôsobené zápalom a opuchom.
S postupujúcim ochorením sa medzi zubami a ďasnami vytvárajú tzv. parodontálne vačky – hlbšie priestory, ktoré vznikajú oddelením ďasien od zubov. Tieto vačky sú často naplnené zápalovým exudátom a baktériami, ktoré ďalej poškodzujú tkanivá. Pri pohľade do ústnej dutiny môže zubný lekár alebo skúsený pozorovateľ spozorovať, že ďasná ustupujú a zuby začínajú vyzerať dlhšie, pretože ich spodná časť, ktorá je normálne zakrytá ďasnami, sa stáva viditeľnou.
V pokročilých štádiách paradentózy sa zuby môžu začať uvoľňovať, pretože dochádza k poškodeniu väzív a úbytku kostnej hmoty, ktorá ich drží na mieste. Môže sa objaviť tiež zápach z úst (halitóza), ktorý vzniká v dôsledku hromadenia baktérií a zápalových procesov. Pacienti môžu pociťovať aj bolesti alebo nepríjemný pocit v ďasnách, zvlášť pri žuvaní.
Celkovo paradentóza vyzerá ako zápalové a degeneratívne poškodenie ďasien a okolitých štruktúr zuba, ktoré vedie k ich postupnému ústupu, tvorbe hlbokých vačkov a narušeniu stability zubov. Preto je dôležité takéto príznaky neignorovať a vyhľadať odbornú pomoc čo najskôr.
Aký je rozdiel medzi paradentózou a gingivitídou?
Paradentóza a gingivitída sú síce úzko prepojené ochorenia, no medzi nimi existuje dôležitý rozdiel, najmä čo sa týka rozsahu poškodenia a závažnosti.
Gingivitída je zápalové ochorenie, ktoré postihuje iba povrchovú časť ďasien. Ide o skorú, miernejšiu fázu problémov s ďasnami, ktorá vzniká najčastejšie v dôsledku nahromadenia zubného povlaku. Pri gingivitíde sú ďasná červené, opuchnuté a môžu pri čistení zubov krvácať, avšak poškodenie sa obmedzuje len na povrchovú vrstvu ďasien. Kostné a väzivové tkanivá okolo zubov zatiaľ nie sú postihnuté, čo znamená, že zuby sú stále pevné a stabilné. Gingivitída je zvratná, ak sa začne liečiť včas, napríklad správnou ústnou hygienou a profesionálnym odstránením povlaku a zubného kameňa.
Paradentóza (parodontitída) je pokročilejšie a závažnejšie ochorenie, ktoré vzniká často ako dôsledok neliečenej gingivitídy. Zápal sa v tomto prípade rozšíri do hlbších tkanív okolo zuba – postihuje väzivá a kosť, ktoré zuby držia na svojom mieste. Tento zápal vedie k ich poškodeniu, úbytku kostnej hmoty a tvorbe hlbokých parodontálnych vačkov medzi zubom a ďasnami. Výsledkom je postupné uvoľňovanie zubov a ich možná strata. Na rozdiel od gingivitídy je paradentóza ťažšie liečiteľná a vyžaduje komplexnejší zásah zubného lekára alebo parodontológa.
V skratke teda gingivitída je počiatočné, povrchové zápalové ochorenie ďasien, ktoré je väčšinou plne zvratné, zatiaľ čo paradentóza je závažnejší, hlbší zápal, ktorý poškodzuje podporné tkanivá zubov a môže viesť k trvalej strate zubov, ak sa nelieči.
Aké typy paradentózy existujú a ako ich rozoznať?
Paradentóza sa delí na niekoľko typov podľa priebehu, závažnosti a veku pacienta, v ktorom ochorenie vzniká. Každý typ má svoje špecifiká, ktoré pomáhajú zubným lekárom správne stanoviť diagnózu a zvoliť najvhodnejšiu liečbu.
Chronická paradentóza je najčastejším typom, ktorý sa vyskytuje najmä u dospelých a starších ľudí. Tento typ sa vyvíja pomaly a postupne, často počas niekoľkých rokov. Pacienti si často spočiatku nevšimnú žiadne výrazné príznaky, až keď sa objavia ustupujúce ďasná, zvýšená citlivosť alebo uvoľnenie zubov. Chronická parodontitída je spojená s dlhodobým pôsobením zubného plaku a zubného kameňa, ktoré vyvolávajú zápal a následné poškodenie podporných tkanív zubov.
Agresívna paradentóza je zriedkavejším, ale závažnejším typom, ktorý sa objavuje už u mladších ľudí, často v tínedžerskom alebo mladom dospelom veku. Tento typ sa vyznačuje rýchlym a výrazným poškodzovaním väzivových a kostných tkanív okolo zubov, často s minimálnym množstvom zubného plaku. Agresívna forma môže mať genetickú podložku a vyžaduje rýchlu a intenzívnu liečbu, pretože môže viesť k strate zubov v relatívne krátkom čase.
Nekrotizujúca parodontitída je špecifický typ paradentózy, ktorý sa prejavuje náhlym, bolestivým zápalom a odumieraním (nekrotizáciou) tkanív ďasien, väzív a kostí. Tento typ sa častejšie vyskytuje u ľudí so zníženou imunitou, napríklad u pacientov s HIV/AIDS, podvýživou alebo silným stresom. Prejavuje sa výraznou bolesťou, krvácaním, zápachom z úst a tvorbou vredov na ďasnách.
Ďalšie formy paradentózy môžu byť spojené so systémovými ochoreniami, napríklad parodontitída súvisiaca s cukrovkou, alebo môžu byť dôsledkom rôznych zdravotných stavov, ktoré ovplyvňujú imunitný systém a schopnosť tkanív sa regenerovať.
Na rozpoznanie jednotlivých typov paradentózy sa používa komplexné vyšetrenie zahŕňajúce klinické hodnotenie stavu ďasien, meranie hĺbky parodontálnych vačkov, röntgenové snímky, ktoré ukazujú úbytok kostnej hmoty, a zohľadňovanie veku pacienta či celkového zdravotného stavu. Správne stanovenie typu paradentózy je dôležité pre nastavenie efektívnej liečby a prevencie ďalšieho poškodzovania zubov.

Aké sú štádiá paradentózy a ako postupuje ochorenie ďasien?
Paradentóza prechádza niekoľkými štádiami, ktoré sa líšia závažnosťou zápalu a poškodenia tkanív okolo zubov. Pochopenie týchto štádií je dôležité na včasné zachytenie ochorenia a správnu liečbu.
Počiatočné štádium začína ako zápal ďasien vyššie už spomínaná gingivitída. V tejto fáze sú ďasná začervenané, mierne opuchnuté a môžu pri čistení zubov krvácať. Zápal je však obmedzený len na povrchovú časť ďasien a ešte nie je poškodená kosť ani väzivá okolo zuba. Gingivitída je zvratná, ak sa správne ošetrí a odstráni sa príčina – zubný povlak.
Ďalšie štádium predstavuje rannú parodontitídu, kedy zápal preniká hlbšie do tkanív okolo zuba. Dochádza k poškodeniu väzivových vlákien, ktoré držia zub v čeľusti, a začína sa úbytok kostnej hmoty. V tejto fáze sa vytvárajú parodontálne vačky, teda hlboké priestory medzi zubom a ďasnami, ktoré sú často plné baktérií a zápalového materiálu. Zuby môžu byť mierne uvoľnené a pacient môže pociťovať zvýšenú citlivosť alebo nepríjemný zápach z úst.
Stredne pokročilá parodontitída už znamená výraznejšie poškodenie podporných tkanív a väčší úbytok kostnej hmoty. Parodontálne vačky sú hlboké a zápal sa rozšíril na väčšiu plochu. Zuby sú výrazne uvoľnené, môže sa objaviť aj mierny posun alebo zmena postavenia zubov. Pacienti často pociťujú nepríjemné pocity pri žuvaní a zápach z úst je silnejší.
Pokročilé štádium predstavuje závažné poškodenie kostí a väzív, ktoré vedie k vážnemu uvoľneniu zubov, ich pohyblivosti a často aj k ich strate. Ďasná sú výrazne ustúpené. Tento stav môže byť sprevádzaný bolesťami, opuchmi a silným zápachom. Bez adekvátnej liečby hrozí strata viacerých zubov.
Paradentóza sa teda vyvíja postupne od relatívne neškodného zápalu ďasien až po vážne poškodenie, ktoré ohrozuje samotnú existenciu zubov.
Aké sú najčastejšie príčiny vzniku paradentózy?
Najčastejšou a základnou príčinou vzniku paradentózy je dlhodobé pôsobenie baktérií nahromadených v zubnom povlaku. Tento povlak vzniká, keď sa na povrchu zubov a v priestore medzi zubami a ďasnami usadí lepkavá vrstva baktérií. Ak sa povlak pravidelne a dôkladne neodstraňuje správnou ústnou hygienou, baktérie v ňom spôsobujú zápal, ktorý poškodzuje ďasná a postupne aj hlbšie tkanivá okolo zubov.
Okrem nahromadenia zubného plaku môžu vznik paradentózy ovplyvniť aj ďalšie faktory. Medzi najvýznamnejšie patrí fajčenie, ktoré znižuje schopnosť imunitného systému bojovať proti zápalu a spomaľuje hojenie tkanív. Genetická predispozícia zohráva tiež dôležitú úlohu – niektorí ľudia majú väčšiu náchylnosť k paradentóze bez ohľadu na to, ako sa o zuby starajú.
Ďalej môžu k rozvoju paradentózy prispieť hormonálne zmeny v tele, napríklad počas tehotenstva alebo menopauzy, ktoré môžu zmeniť citlivosť ďasien a ich reakciu na baktérie. Oslabený imunitný systém, spôsobený napríklad stresom alebo niektorými ochoreniami, tiež zvyšuje riziko vzniku zápalu.
Systémové ochorenia ako cukrovka môžu výrazne zhoršiť priebeh paradentózy, pretože negatívne ovplyvňujú schopnosť organizmu bojovať proti infekciám a hojiť poškodené tkanivá. Rovnako nesprávne ošetrené zuby, napríklad zle tvarované výplne alebo korunky, môžu vytvárať vhodné prostredie pre usadzovanie povlaku a baktérií.
Všetky tieto faktory môžu spoločne alebo samostatne viesť k vzniku a postupnému rozvoju paradentózy, čo zdôrazňuje potrebu komplexnej starostlivosti o ústnu hygienu a pravidelných preventívnych prehliadok u zubného lekára.
Ako prebieha diagnostika paradentózy u zubára?
Diagnostika paradentózy u zubného lekára je komplexný proces, ktorý zahŕňa niekoľko krokov s cieľom presne určiť stav ďasien a podporných tkanív zubov, posúdiť závažnosť ochorenia a navrhnúť vhodnú liečbu.
Prvým krokom je klinické vyšetrenie ústnej dutiny, pri ktorom zubár vizuálne posudzuje stav ďasien – ich farbu, tvar, prítomnosť opuchu či krvácania. Zameriava sa tiež na to, či sa ďasná neustupujú, či nie sú prítomné viditeľné parodontálne vačky alebo hnisavé ložiská.
Ďalšou dôležitou súčasťou je meranie hĺbky parodontálnych vačkov pomocou špeciálneho sondovacieho nástroja. Tento nástroj sa jemne zasúva do priestoru medzi ďasnami a zubom, aby sa zistilo, aké hlboké sú tieto vačky. Hĺbka vačkov je ukazovateľom rozsahu zápalu a poškodenia tkanív. Zdravé ďasná majú vačky s hĺbkou do 3 mm, zatiaľ čo pri paradentóze sa hĺbka týchto vačkov zväčšuje, často presahuje 4 mm a viac.
Okrem toho zubár hodnotí pohyblivosť zubov, čo môže byť znakom poškodenia väzív a kosti. Posúdi aj prítomnosť zubného plaku a kameňa, ktoré sú hlavnými faktormi vyvolávajúcimi zápal.
Dôležitou súčasťou diagnostiky sú aj röntgenové snímky (najčastejšie panoramatický snímok alebo sériové intraorálne snímky). Tie umožňujú posúdiť stav kostnej hmoty okolo zubov a odhaliť úbytok kosti, ktorý nie je vždy viditeľný len z klinického vyšetrenia.
V niektorých prípadoch môže zubný lekár odporučiť aj laboratórne testy alebo mikrobiologické vyšetrenie slín alebo zubného plaku, aby identifikoval konkrétne baktérie spôsobujúce zápal, najmä pri zložitejších alebo rezistentných prípadoch.
Na základe týchto vyšetrení dokáže zubár stanoviť presnú diagnózu, určiť štádium paradentózy a navrhnúť najvhodnejší plán liečby, ktorý môže zahŕňať:
profesionálne čistenie,
ošetrenie vačkov,
antibiotickú liečbu
lebo chirurgické zákroky v pokročilých prípadoch.
Aké sú najúčinnejšie metódy liečby paradentózy?
Liečba paradentózy je komplexný proces, ktorý závisí od závažnosti ochorenia, štádia, typu paradentózy a celkového zdravotného stavu pacienta. Cieľom liečby je zastaviť zápal, zabrániť ďalšiemu poškodeniu tkanív a obnoviť zdravie ďasien a podporných štruktúr zuba. Najúčinnejšie metódy liečby zvyčajne kombinujú niekoľko prístupov.
V prvom rade je základom profesionálne odstránenie zubného povlaku a zubného kameňa pomocou ultrazvukových prístrojov a ručných nástrojov (scaling a root planing). Tento zákrok sa vykonáva pod dohľadom zubného lekára alebo parodontológa a pomáha odstrániť baktérie a zápalové ložiská z povrchu zubov a z koreňových plôch, kde sa usadzujú baktérie.
Ďalej je veľmi dôležitá dôkladná ústna hygiena, ktorú musí pacient dodržiavať denne. Zahrňuje správne čistenie zubov, používanie medzizubných kefiek alebo dentálnych nití a prípadne antiseptických ústnych vôd, ktoré pomáhajú znižovať množstvo baktérií.
V prípadoch, keď konzervatívna liečba nestačí, môže byť potrebné chirurgické ošetrenie. To zahŕňa zákroky na odstránenie hlbokých parodontálnych vačkov, vyhladenie koreňových plôch, resekciu poškodeného tkaniva alebo dokonca regeneratívne techniky, ktoré pomáhajú obnoviť kosť a väzivo okolo zubov.
Pri ťažších formách paradentózy môže zubný lekár odporučiť aj antibiotickú liečbu – lokálne aplikované gély alebo perorálne antibiotiká, ktoré pomáhajú potlačiť zápalové baktérie. Antibiotiká sa však používajú len ako doplnok k mechanickému odstráneniu plaku, nie samostatne.
V rámci celkovej liečby je tiež veľmi dôležité riešiť rizikové faktory, ako je napríklad fajčenie, ktoré výrazne zhoršuje priebeh ochorenia a sťažuje hojenie. Pacienti by mali byť motivovaní k zanechaniu fajčenia a celkovej úprave životného štýlu.
Pravidelné kontroly a preventívne ošetrenia u zubného lekára sú nevyhnutné na monitorovanie stavu ďasien, aby sa zabránilo opätovnému zhoršeniu ochorenia.
Aké sú následky neliečenej pokročilej parodontitídy?
Neliečená pokročilá parodontitída (paradentóza) môže viesť k vážnym a často nevratným následkom, ktoré výrazne ovplyvňujú zdravie ústnej dutiny aj celkovú kvalitu života človeka. Jedným z najvýraznejších dôsledkov je postupná strata zubov. Zápal spôsobuje poškodenie väzív a úbytok kostnej hmoty, ktorá drží zuby pevne na svojom mieste. Keď kostná podpora výrazne ustúpi, zuby sa začnú uvoľňovať, môžu sa posúvať, meniť svoje postavenie alebo úplne vypadnúť. Strata zubov potom negatívne ovplyvňuje schopnosť žuvania, reči a celkovú estetiku tváre.
Ďalším dôsledkom je chronický zápal v ústnej dutine, ktorý môže spôsobiť pretrvávajúce bolesti, opuchy, krvácanie a nepríjemný zápach z úst (halitózu).
Tento zápal môže tiež znižovať kvalitu života a spôsobovať diskomfort pri jedení alebo bežnej ústnej hygiene.
Neliečená parodontitída má tiež potenciálne negatívne dopady na celkové zdravie organizmu. Viaceré štúdie preukázali spojitosť medzi chronickým zápalom v ďasnách a zvýšeným rizikom vzniku alebo zhoršenia systémových ochorení, ako sú cukrovka, srdcovo-cievne choroby, ochorenia dýchacích ciest či komplikácie v tehotenstve.
Okrem zdravotných problémov môže strata zubov a zmeny v postavení zubov viesť aj k psychosociálnym ťažkostiam, napríklad k zníženiu sebavedomia, ťažkostiam v spoločenských situáciách či obmedzeniu v pracovnom či súkromnom živote.
Celkovo neliečená pokročilá paradentóza vedie k výraznému zhoršeniu kvality života.
Čo najlepšie pomáha na paradentózu – pasty, gély, výplachy a lieky?
Na paradentózu je dôležité chápať, že žiadna zubná pasta, gél či výplach sama o sebe nevylieči ochorenie, ak nie je doplnená profesionálnou liečbou a správnou ústnou hygienou. Avšak určité produkty môžu významne pomôcť podporiť liečbu, zmierniť zápal a zabrániť ďalšiemu zhoršovaniu stavu.
Zubné pasty určené na paradentózu obsahujú zložky, ktoré pomáhajú redukovať zápal a baktérie v ústnej dutine. Medzi bežné aktívne látky patria napríklad chlórhexidín, triclosan, alebo prírodné extrakty (napríklad z aloe vera či zeleného čaju). Tieto pasty pomáhajú znižovať množstvo zubného povlaku a zmierňujú krvácanie ďasien.
Gély na paradentózu často obsahujú antiseptiká ako chlorhexidín alebo antibakteriálne zložky, ktoré sa aplikujú priamo na postihnuté miesto. Pomáhajú znižovať zápal, zmierňovať bolesť a urýchľovať hojenie. Gély môžu byť použité ako doplnok ku klasickému čisteniu, najmä v miestach, kde je zápal výraznejší.
Ústne vody na paradentózu sú so špecifickými antiseptickými alebo antibakteriálnymi zložkami (napríklad chlorhexidín, cetylpyridíniumchlorid alebo esenciálne oleje) pomáhajú redukovať baktérie v celom ústnom priestore a zmierňujú zápal ďasien. Výplachy sú veľmi užitočné ako podpora ústnej hygieny, najmä keď je mechanické čistenie obmedzené alebo bolestivé.
Lieky a antibiotiká sa používajú v prípade ťažších foriem paradentózy alebo ak je zápal veľmi výrazný a rozsiahly. Antibiotiká môžu byť podávané lokálne (napríklad v géloch alebo vložkách do parodontálnych vačkov) alebo systémovo vo forme tabliet. Ich cieľom je potlačiť baktérie spôsobujúce zápal. Lieky na zmiernenie bolesti či protizápalové lieky môžu pomôcť zmierniť nepríjemné príznaky, no neliečia samotnú príčinu.
Najlepšie výsledky pri liečbe paradentózy dosiahnete kombináciou profesionálneho ošetrenia u zubného lekára a pravidelnej domácej starostlivosti s vhodnými prípravkami na podporu zdravia ďasien. Bez dôkladného odstránenia zubného plaku a kameňa žiadna pasta, gél ani výplach nezastavia rozvoj ochorenia.
Aké domáce recepty a prírodné lieky pomáhajú na paradentózu?
Pri paradentóze môžu domáce recepty a prírodné lieky slúžiť ako doplnok k profesionálnej liečbe a správnej ústnej hygiene, nikdy však nenahradia návštevu zubára a odborné ošetrenie. Niektoré prírodné prostriedky však môžu pomôcť zmierniť zápal, podporiť hojenie ďasien a zmierniť nepríjemné príznaky.
Medzi najčastejšie odporúčané prírodné spôsoby patrí výplach úst slanou vodou. Na prípravu stačí rozpustiť čajovú lyžičku soli v pohári teplej vody a touto slanou vodou si niekoľkokrát denne vyplachovať ústa. Soľ má prirodzené antiseptické vlastnosti, pomáha čistiť ďasná a zmierňuje opuch a bolesť.
Čaj z harmančeka má protizápalové a hojivé účinky, ktoré môžu pomôcť pri zápaloch ďasien. Môžeš si pripraviť silnejší odvar, nechať ho vychladnúť a použiť ako ústnu vodu alebo kloktať. Harmanček tiež upokojuje podráždené tkanivá.
Ďalším obľúbeným prírodným prostriedkom je aloe vera. Gél z aloe vera sa dá naniesť priamo na postihnuté miesta, kde pomáha znižovať zápal a podporuje regeneráciu tkanív. Aloe vera má tiež antibakteriálne vlastnosti, ktoré môžu pomôcť udržať ústnu dutinu čistú.
Kokosový olej sa používa pri tzv. olejovaní úst, čo je tradičná technika, pri ktorej sa ráno alebo večer kloktá v ústach lyžica kokosového oleja. Tento postup pomáha odstraňovať baktérie a zmierňuje zápal.
Niektorí ľudia využívajú aj výťažky z tea tree oleja (čajovníkového oleja), ktorý má silné antibakteriálne a protizápalové účinky. Stačí pár kvapiek pridať do vody na ústny výplach alebo použiť vo forme gélu, no treba byť opatrný, pretože neriedený tea tree olej môže dráždiť sliznicu. Je však dôležité zdôrazniť, že prírodné lieky a domáce recepty sú vhodné len ako podpora a nemajú schopnosť odstrániť základnú príčinu paradentózy – bakteriálny zápal pod ďasnami.
Ako predchádzať paradentóze?
Predchádzanie paradentóze je najlepším spôsobom, ako si udržať zdravé ďasná a pevné zuby po celý život. Kľúčom je pravidelná a správna ústna hygiena, ktorá zabraňuje hromadeniu zubného povlaku – hlavnej príčiny zápalu ďasien.
Základom je dôkladné čistenie zubov aspoň dvakrát denne, ideálne ráno a večer, s použitím zubnej kefky s mäkkými štetinami a fluoridovej zubnej pasty. Okrem klasického čistenia je veľmi dôležité čistiť aj medzizubné priestory pomocou dentálnych nití, medzizubných kefiek alebo špeciálnych zubných špáradiel, kde sa plak často najviac usadzuje.
Nezanedbávajte ani pravidelné profesionálne čistenie zubov u zubného lekára alebo dentálnej hygieničky, ktoré sa odporúča absolvovať aspoň raz za pol roka. Tieto zákroky odstránia zubný kameň, ktorý si doma bežne neodstrániš a ktorý je ideálnym prostredím pre baktérie spôsobujúce paradentózu.
Dôležitý je aj zdravý životný štýl – obmedzenie alebo úplné vyhýbanie sa fajčeniu, pretože fajčenie výrazne zvyšuje riziko vzniku paradentózy a zhoršuje liečebné výsledky. Rovnako pomáha zdravá strava bohatá na vitamíny, najmä vitamín C a D, ktoré podporujú imunitu a zdravie tkanív.
Pri hormonálnych zmenách, napríklad počas tehotenstva alebo menopauzy, treba venovať zvýšenú pozornosť starostlivosti o ďasná, pretože tieto obdobia môžu zvýšiť ich citlivosť a náchylnosť k zápalu.
Najčastejšie otázky o paradentóze (FAQ)
Je paradentóza nákazlivá?
Paradentóza sama o sebe nie je priamo nákazlivé ochorenie, ale baktérie, ktoré ju spôsobujú, sa môžu šíriť z človeka na človeka. V ústach sa nachádza veľké množstvo baktérií, vrátane tých, ktoré môžu vyvolať zápal ďasien a paradentózu. Tieto baktérie sa môžu preniesť napríklad zdieľaním príborov, bozkom alebo iným blízkym kontaktom.
To však neznamená, že každý, kto príde do kontaktu s takýmito baktériami, automaticky dostane paradentózu. Rozvoj ochorenia závisí najmä od individuálnej ústnej hygieny, imunitného systému a ďalších faktorov, ako je genetika alebo fajčenie. Dobrá starostlivosť o zuby a ďasná preto výrazne znižuje riziko vzniku paradentózy, aj keď si v kontakte s baktériami, ktoré ju môžu spôsobiť.
Akú diétu dodržiavať?
Pri paradentóze je dôležitá vyvážená a pestrá strava, ktorá podporuje zdravie ďasien a celkovú imunitu. Odporúča sa jesť potraviny bohaté na vitamíny, najmä vitamín C, ktorý pomáha posilňovať cievy a podporuje hojenie tkanív, a vitamín D, ktorý je dôležitý pre zdravie kostí. Zdroje vitamínu C nájdeš napríklad v citrusoch, jahodách, paprike alebo brokolici, zatiaľ čo vitamín D telo tvorí pod vplyvom slnečného žiarenia, ale je ho aj v rybách, vajciach či mliečnych výrobkoch.
Dôležité je tiež dostatočné prijímanie minerálov, ako sú vápnik a zinok, ktoré sú potrebné pre pevnosť kostí a správnu funkciu imunitného systému. Tieto minerály nájdeš v mliečnych výrobkoch, orechoch, semenách alebo celozrnných obilninách.
Naopak by si mal obmedziť príjem sladkostí, sladkých nápojov a veľmi lepkavých alebo tvrdých potravín, ktoré môžu podporovať vznik zubného plaku a dráždiť ďasná. Tiež sa odporúča obmedziť konzumáciu alkoholu a kofeínu, ktoré môžu vysušovať ústnu sliznicu a zhoršovať zápal.
Celkový zdravý životný štýl s dostatkom tekutín, pravidelným pohybom a vyhýbaním sa fajčeniu výrazne podporuje úspešnú prevenciu a liečbu paradentózy.
Existuje paradentóza aj u detí?
Áno, paradentóza, hoci je častejšia u dospelých, sa môže vyskytnúť aj u detí, hoci to je zriedkavejšie. U detí sa často prejavuje ako gingivitída, teda zápal ďasien, ktorý je ranným štádiom ochorenia a môže viesť k paradentóze, ak sa nelieči.
Hlavnou príčinou je nedostatočná alebo nesprávna ústna hygiena, ktorá vedie k nahromadeniu zubného plaku a zápalu. U detí môžu zápal ďasien zhoršovať aj iné faktory, napríklad slabšia imunita, zlé stravovacie návyky, zubný kameň, alebo dokonca vrodené problémy s ďasnami.
Prevencia a liečba u detí je podobná ako u dospelých – pravidelné a správne čistenie zubov, kontrola u detského zubného lekára a včasné riešenie zápalov. Dôležité je tiež učiť deti správnym návykom a venovať zvýšenú pozornosť ich ústnej hygiene, aby sa predišlo rozvoju paradentózy v budúcnosti.
Je paradentóza dedičná?
Paradentóza nie je priamo dedičná choroba, ale genetika môže zohrávať významnú úlohu v náchylnosti človeka k jej rozvoju. To znamená, že ak mali rodičia alebo blízki príbuzní problémy s paradentózou, existuje vyššie riziko, že sa u vás ochorenie tiež objaví.
Genetické faktory môžu ovplyvniť napríklad spôsob, akým imunitný systém reaguje na baktérie v ústach, alebo kvalitu a pevnosť tkanív, ktoré držia zuby na mieste. Avšak samotný vznik paradentózy závisí aj od vonkajších faktorov ako ústna hygiena, fajčenie, stres, zdravotný stav či životný štýl.
To znamená, že aj keď máte genetickú predispozíciu, správna starostlivosť o ústnu hygienu a zdravý životný štýl môžu výrazne znížiť riziko rozvoja paradentózy alebo spomaliť jej priebeh. Preto je dôležité venovať pozornosť prevencii, najmä ak v rodine ochorenie už bolo.
Dá sa vyliečiť paradentóza?
Paradentóza (parodontitída) sa nedá úplne vyliečiť tak, že by sa poškodené tkanivá a kosť úplne obnovili, najmä v pokročilých štádiách. Avšak pri včasnej diagnostike a správnej liečbe je možné zastaviť alebo výrazne spomaliť postup ochorenia, zmierniť zápal a zabrániť ďalšej strate zubov.
Liečba zahŕňa odstránenie zubného plaku a kameňa, profesionálne čistenie parodontálnych vačkov, úpravu životného štýlu (napríklad prestať fajčiť) a dôkladnú domácu starostlivosť o ďasná. V niektorých prípadoch môže zubár použiť aj antibiotiká alebo chirurgické zákroky na obnovenie poškodených tkanív.
Takže hoci úplné vyliečenie nie je vždy možné, paradentóza sa dá efektívne kontrolovať a liečiť tak, aby pacient mohol mať zdravé ďasná a stabilné zuby čo najdlhšie. Dôležitá je však pravidelná starostlivosť a návštevy u zubára.
Zdroje:
https://www.mayoclinic.org/diseases-conditions/periodontitis/symptoms-causes/syc-20354473
https://www.healthline.com/health/dental-and-oral-health/gingivitis-vs-periodontitis
https://www.peaceperio.com/procedures/periodontal-disease/types/
https://www.eoperio.com.au/gum-disease/stages
https://my.clevelandclinic.org/health/diseases/21482-gum-periodontal-disease
https://www.cdc.gov/oral-health/about/gum-periodontal-disease.html
https://www.mayoclinic.org/diseases-conditions/periodontitis/diagnosis-treatment/drc-20354479
https://www.shirazendodontics.com/the-ultimate-guide-7-ways-to-prevent-and-treat-periodontitis/
https://shermanoakssmilestudio.com/what-is-the-best-treatment-for-periodontitis/
https://www.drwilliammckenzie.com/blog/what-happens-if-periodontal-disease-goes-untreated
https://my.clevelandclinic.org/health/articles/10909-medications-used-in-dentistry